🩻 X-Ray Reveals Gold Acupuncture Needles in Woman’s Knees – What Really Happened

669606783 4412536559073847 4393366129876036260 n

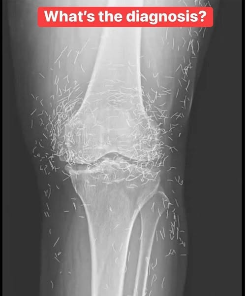
When doctors examined the X-ray of a 65-year-old woman in South Korea with severe knee pain, they didn’t just see signs of osteoarthritis.
They saw something unexpected: hundreds of tiny metallic fragments embedded in her knee joints.

But contrary to viral headlines claiming “hundreds of gold needles,” the truth is more nuanced — and medically fascinating.

his case, reported in the Journal of the Korean Medical Science, involved a long-term treatment called gold acupuncture therapy — a specialized form of alternative medicine used in some parts of Asia to manage chronic joint pain.

Science
Let’s explore what really happened, why gold needles are used, and what this means for patients considering alternative treatments.

đź§  The Real Story Behind the X-Ray
In 2018, South Korean doctors published a case study about a woman with advanced osteoarthritis who had received repeated gold acupuncture treatments over 30 years.

She had been receiving gold wire implants in her knees and lower back for chronic pain
The “needles” were actually microscopic gold threads, about 0.2 mm thick and 3–5 mm long
Over decades, she received dozens of implants — not “hundreds” in a single session
When her knee pain worsened, an X-ray revealed numerous tiny metallic specks — the remnants of long-term gold implantation.

✅ The image was surprising — but not shocking, once the full context was known.

đź’‰ What Is Gold Acupuncture Therapy?
CONTINUE READING...>>

Recent Articles

Leave a Reply

Your email address will not be published. Required fields are marked *